Scopri Infinity+
Corporate
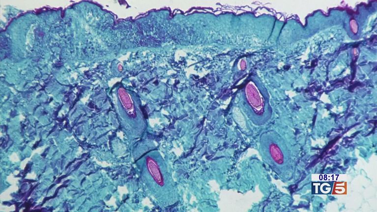
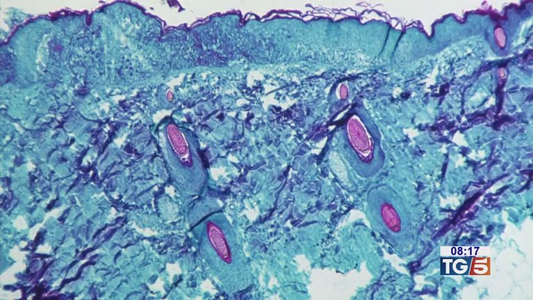
Vaiolo delle scimmie: attenzione, non allarme

Vaiolo delle scimmie: attenzione, non allarme

22 mag 2022 | Canale 5

Circa 80 i casi in Europa, tre in Italia. Il virus sarebbe mutato diventando trasmissibile da uomo a uomo.

Guarda anche