Scopri Infinity+
Corporate
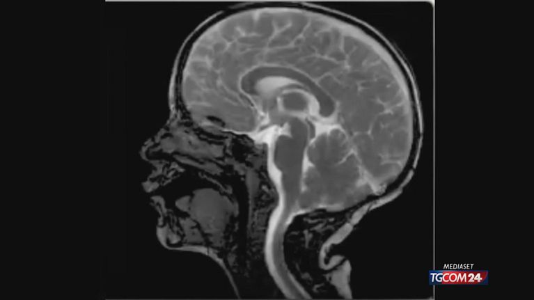
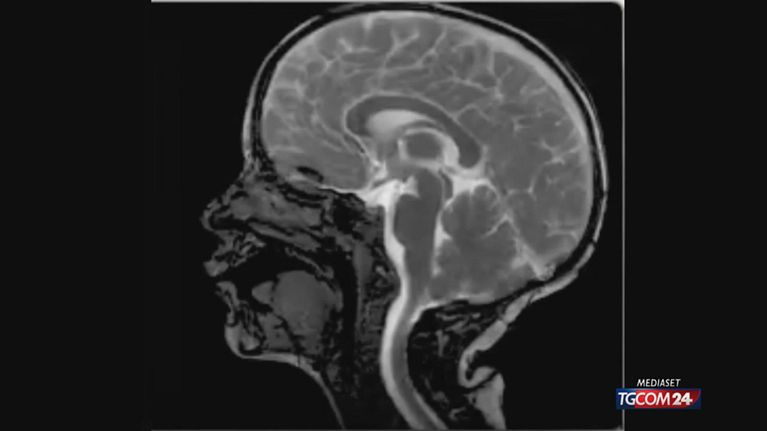
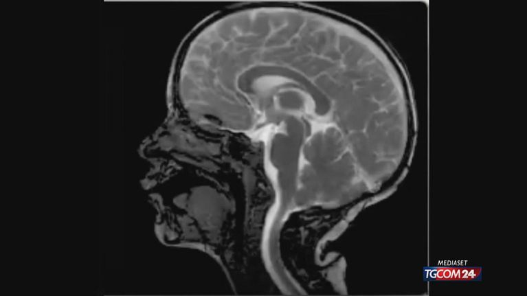
Sla e sclerosi, nuove cure con cellule staminali

Sla e sclerosi, nuove cure con cellule staminali

20 giu 2024 | Tgcom24

Nuove prospettive di trattamento per la Sla e la Sclerosi Multipla attraverso il trapianto di cellule staminali cerebrali. IRCCS casa sollievo della Sofferenza e Revert Onlus hanno presentato i risultati di un trial clinico di fase 1 per la SM e la partenza di un trial clinico di fase 2 per la Sla.

Guarda anche